لامینت های سرامیکی
در گالری های زیر نمونه ای از درمانهای ونیر سرامیکی یا همان لامینت را مشاهده می فرمایید
Case No:1


Case No:2


Case No:3


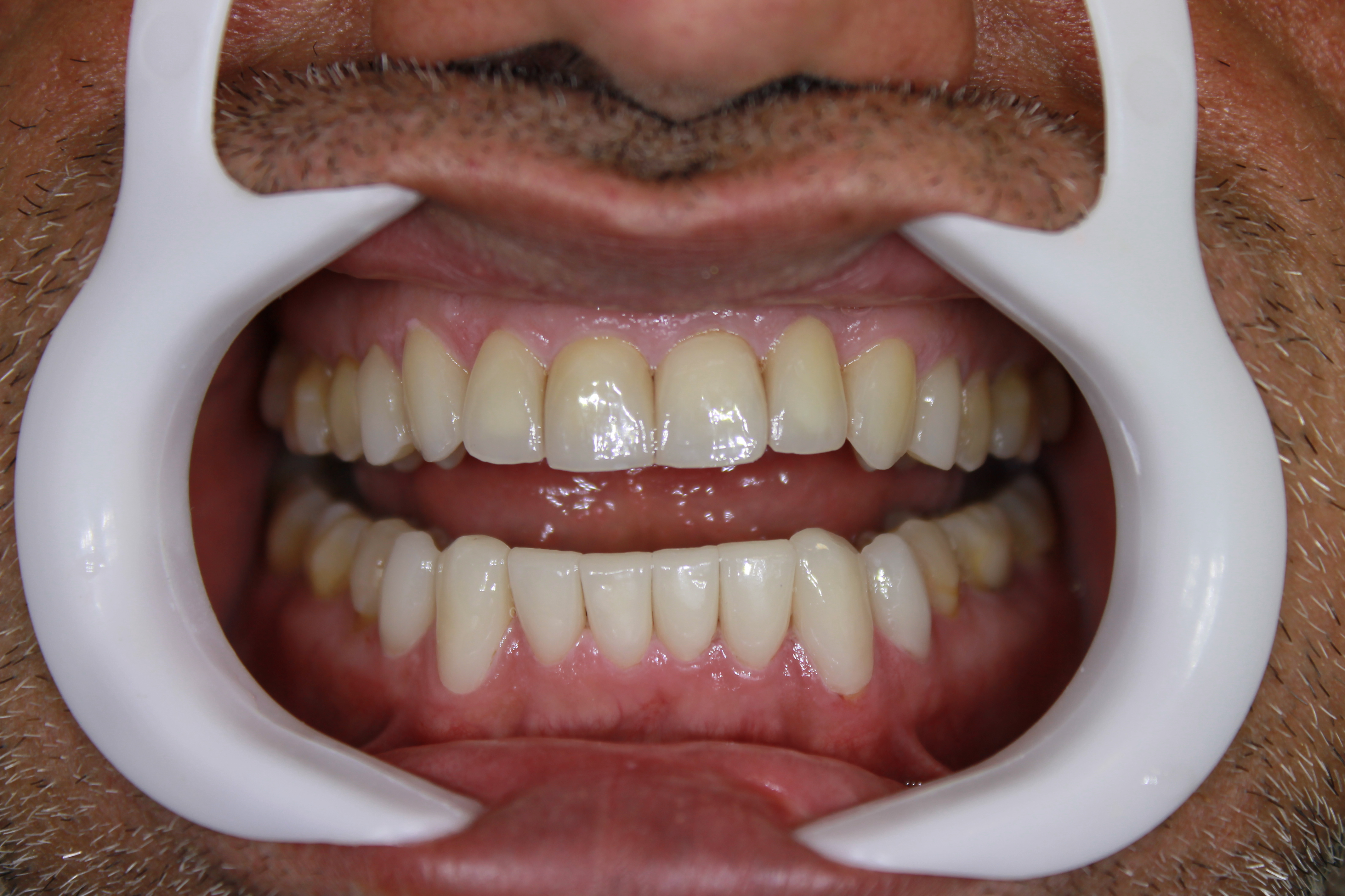
Case No:5


Case No:6
Case No:7
Case No:8
Case No:9



Case No:10



توجه
برداشت واستفاده از مطالب این سایت، تنها با ذکر منبع مجاز میباشد.
بیشتر بخوانید…
لطفا ما را در اینستاگرام نیز دنبال فرمایید
کلمات کلیدی
دندانپزشک – دندانپزشکی – دندانپزشکی دیجیتال – دندانپزشکی زیبایی – دندانپزشکی ترمیمی – لمینت سرامیکی – لامینت سرامیکی – لامینت دندان – هینوتیزم – هیپنوتیزم در دندانپزشکی – کرمانشاه – کرمانشاهی – دندانپزشکان کرمانشاه – عصب کشی – اندودانتیکس – درمان ریشه دندان – پروتز ثابت – روکش دندان – ایمپلنت فوری – دکتر افشین کاوسی – دکتر هاوش غارتی – لیزر در دندانزشکی – کاربرد لیزر در دندانپزشکی – جراحی لثه با لیزر – معنای لیزر – لیزر دایود – بایولیز – دندانپزشکی مدرن – جراحی لثه – جراحی دندان عقل – دندان عقل نهفته – جرمگیری دندان – بلیچینگ – سفید کردن دندان – زیبایی دندان – طراحی لبخند – طرح لبخند – جراحی تحت هیپنوتیزم – دندانپزشکی با هیپپنوتیزم – مدیریت مطب و کلینیک – دکتر کاظم آشفته یززدی – دکتر سیدمهدی جعفری – ایمپلنت دندان – کاشت دندان – جایگزینی دندان – ایمپلنت هدایت شده – ایمپلنت دیجیتال – نیودنت – اشترومن – کیت جراحی ایمپلنت – کامپوزیت ونیر – ونیر دندان – اینلی – اونلی – اورلی – ترمیم دندان – ترمیم همرنگ دندان – ترمیم سفید رنگ دندان – ترمیم دندان با کامپوزیت – ترمیم طبیعی دندان – آمالگام – تعویض آمالگام – طاق بستان – دندانساز – دندانساز تجربی – دندانپزشک تجربی – هنر دندانپزشکی – علم و هنر دندانپزشکی – لابراتوار دندانسازی – تکنسین دندان – تکنسین دندانپزشکی – دستیار دندانپزشک-ویروس کرونا – بیماری کرونا-جهش کرونا – کرونا و دندانپزشکی- کویید ۱۹ و دندانپزشکی – کنترل عفونت در دندانپزشکی – مطب دندانپزشکی زیبا – مطب دندانپزشکی شیک – معماری مطب دندانپزشکی – پرینتر سه بعدی – روکش موقت – نایت گارد – دندان قروچه – براکسیزم – ناهنجاری فک و صورت – ارتودنسی شفاف – الاینر شفاف – ترمیم کامپوزیت خلفی – بیماریهای لثه – بیماریهای دهان- کامپوزیت دندان – دوکتور ددان – کرماشان – بیمه دندانپزشکی – دپیگمانتاسون لثه – کدکم – سینوس لیفت – پیوند استخوان – جراحی ایمپلنت – ایمپلنتولوژی – بوی بد دهان – کیست دندان – دندان درد – آموزش بهداشت دهان کودکان – بهداشت اطفال – مسواک کودکان – دندان شیری – پرینتر سه بعدی – روکش موقت – dental laminates – smile -Kermanshah – kermanshah dentist – kermanshah dentistry office -تببیض الاستنان – زراعت الاسنان فی ایران – فنیز الترکیبیات کرمانشاه – طبیب الاسنان ایرانی -زراعت الاسنان فی یوم واحد ایران – دندانپزشک خوب کرمانشاه – رزین کامپوزیت – مواد دندانپزشکی با کیفیت – طراحی لبخند دیجیتالی – اموزش اگزوکد – طراحی در اگزوکد –

دندانپزشک
فارغ التحصیل دانشکده دندانپزشکی دانشگاه علوم پزشکی تهران














هیچ نظری ثبت نشده است