درمانهای ترمیمی
در گالری تصاویر زیر ، نمونه هایی از درمان های ترمیمی انجام شده توسط تکنیکها و متریال گوناگون را مشاهده می فرمایید. جهت مشاهده عکسهای هر گالری بر روی آنها کلیک کنید.
درمان دندانهای پیشین با کامپوزیت
ترمیم پس از درمان ریشه دندان با نصب پست FRCدر ریشه ها
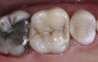
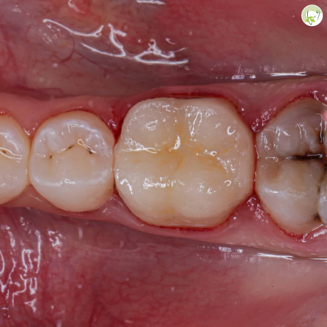
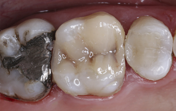
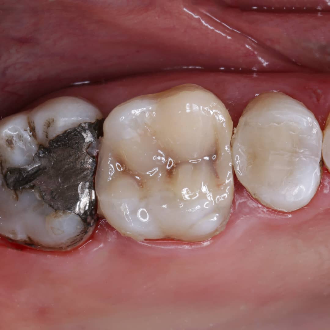
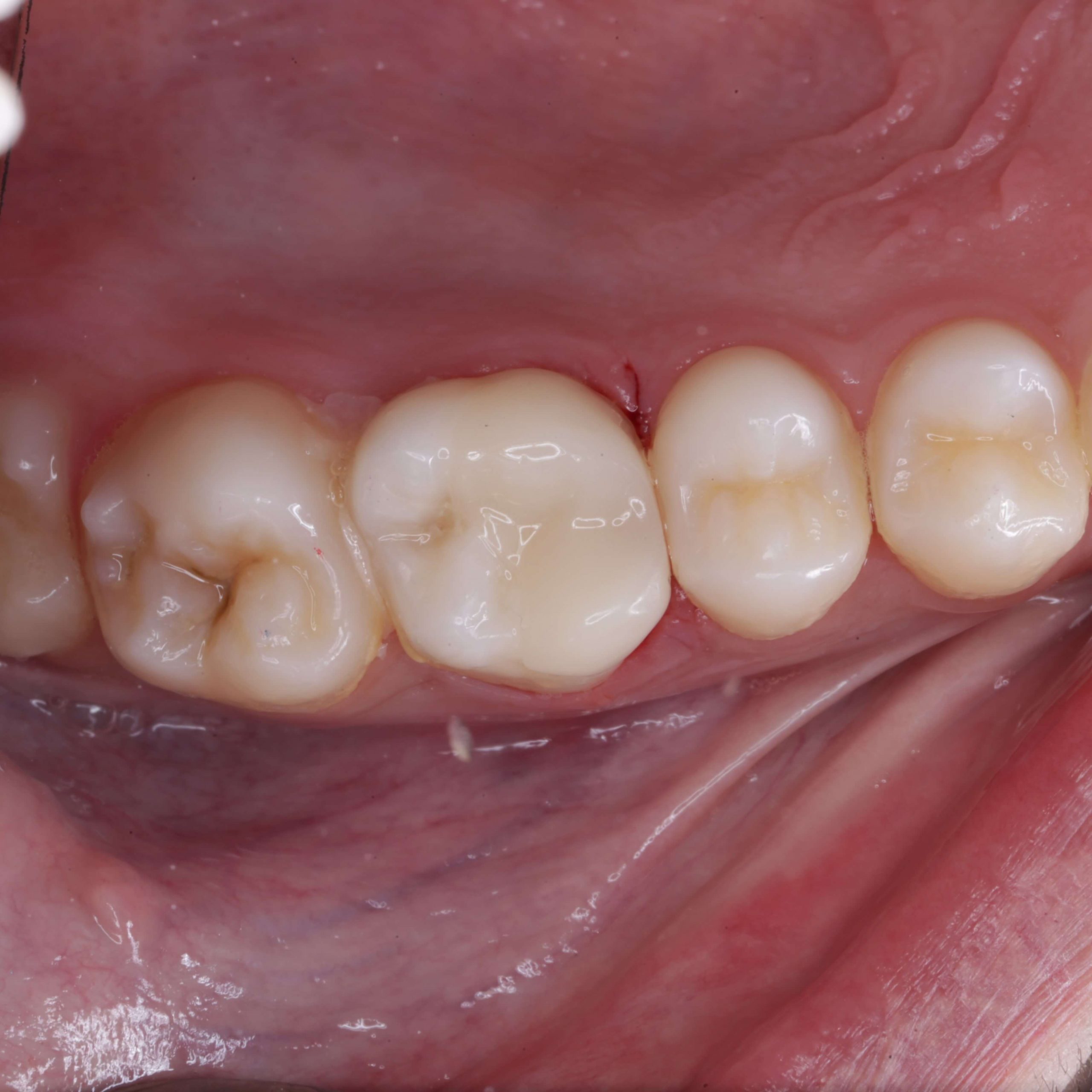
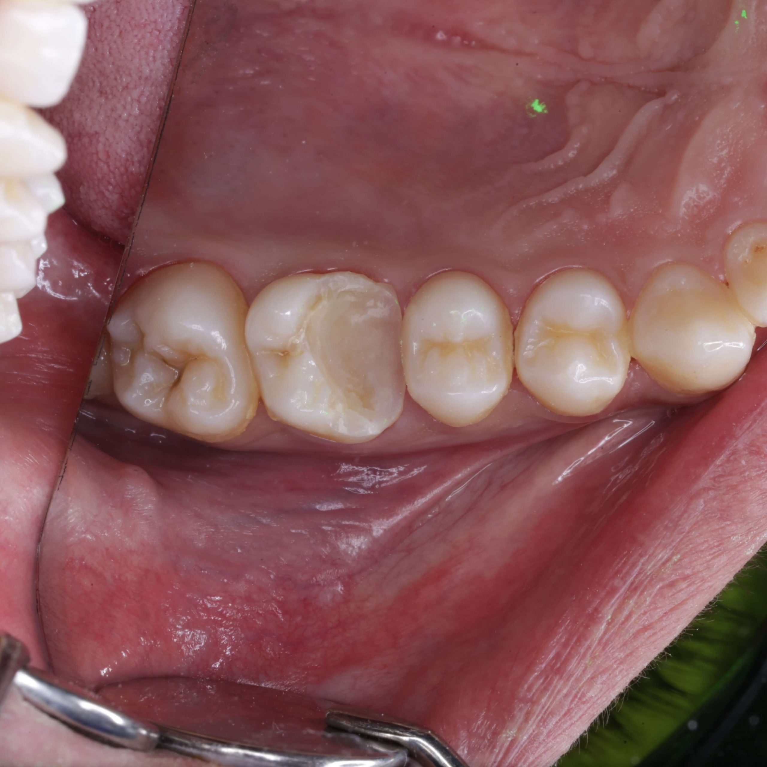
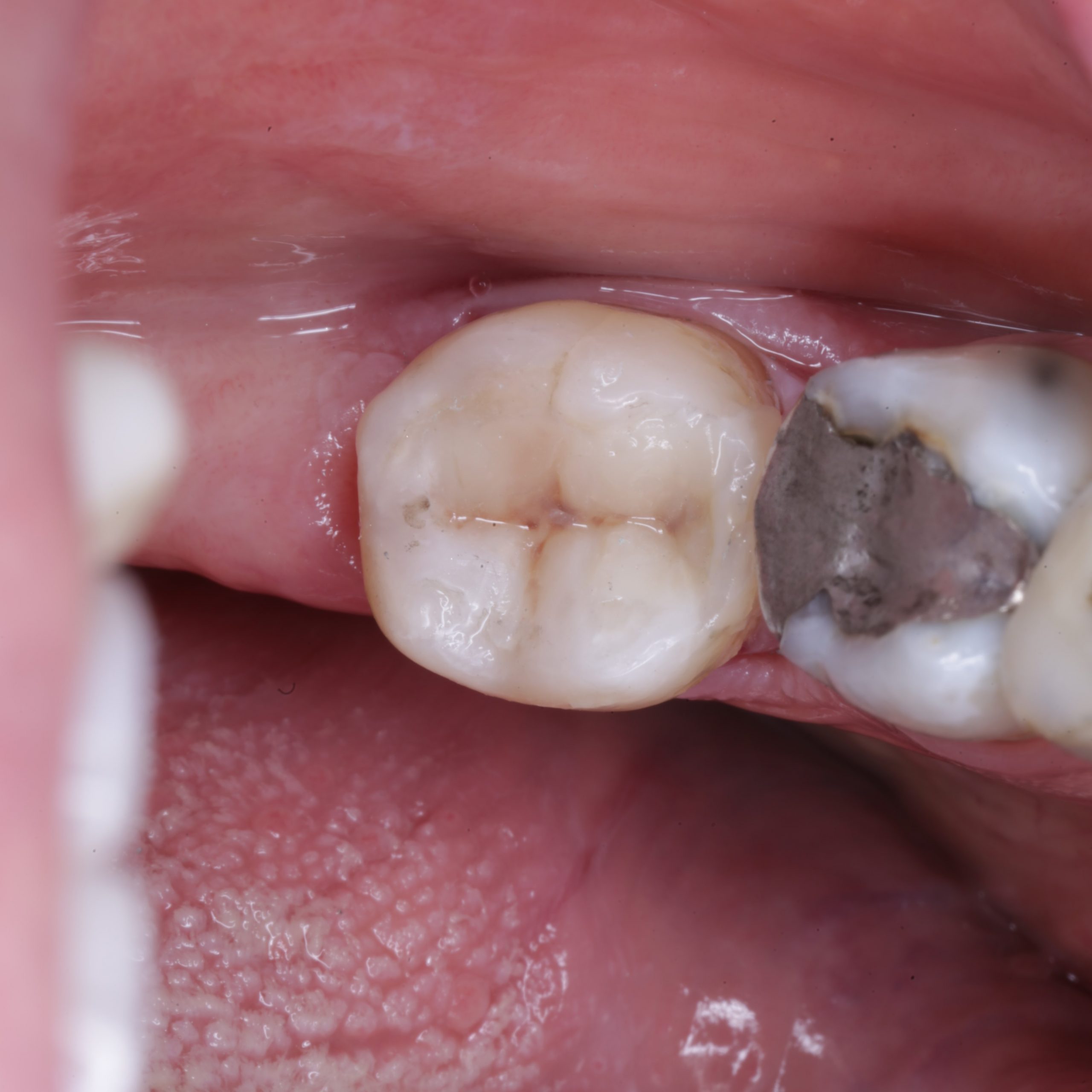
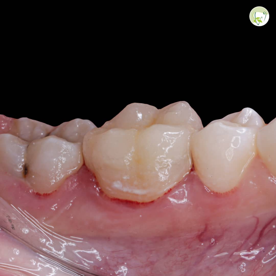
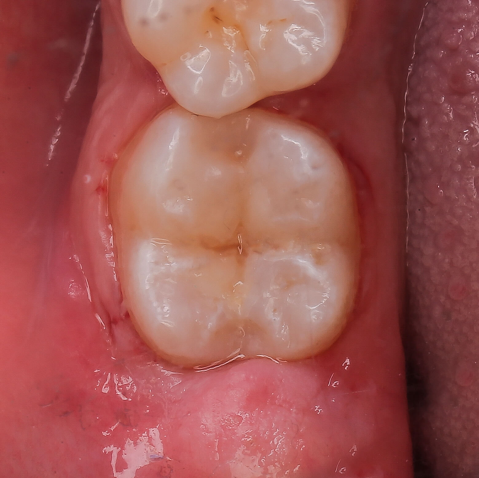
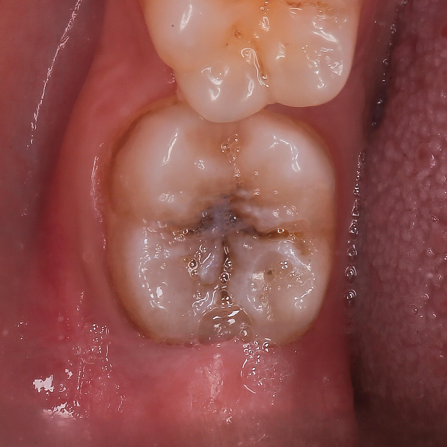
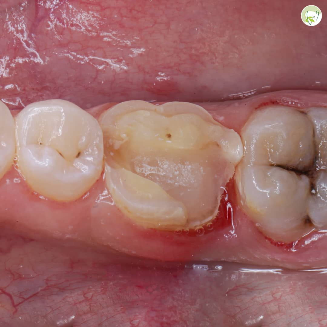
ترمیم کامپوزیتی مستقیم 1
ترمیم کامپوزیتی مستقیم 2
ترمیم کامپوزیتی مستقیم 3
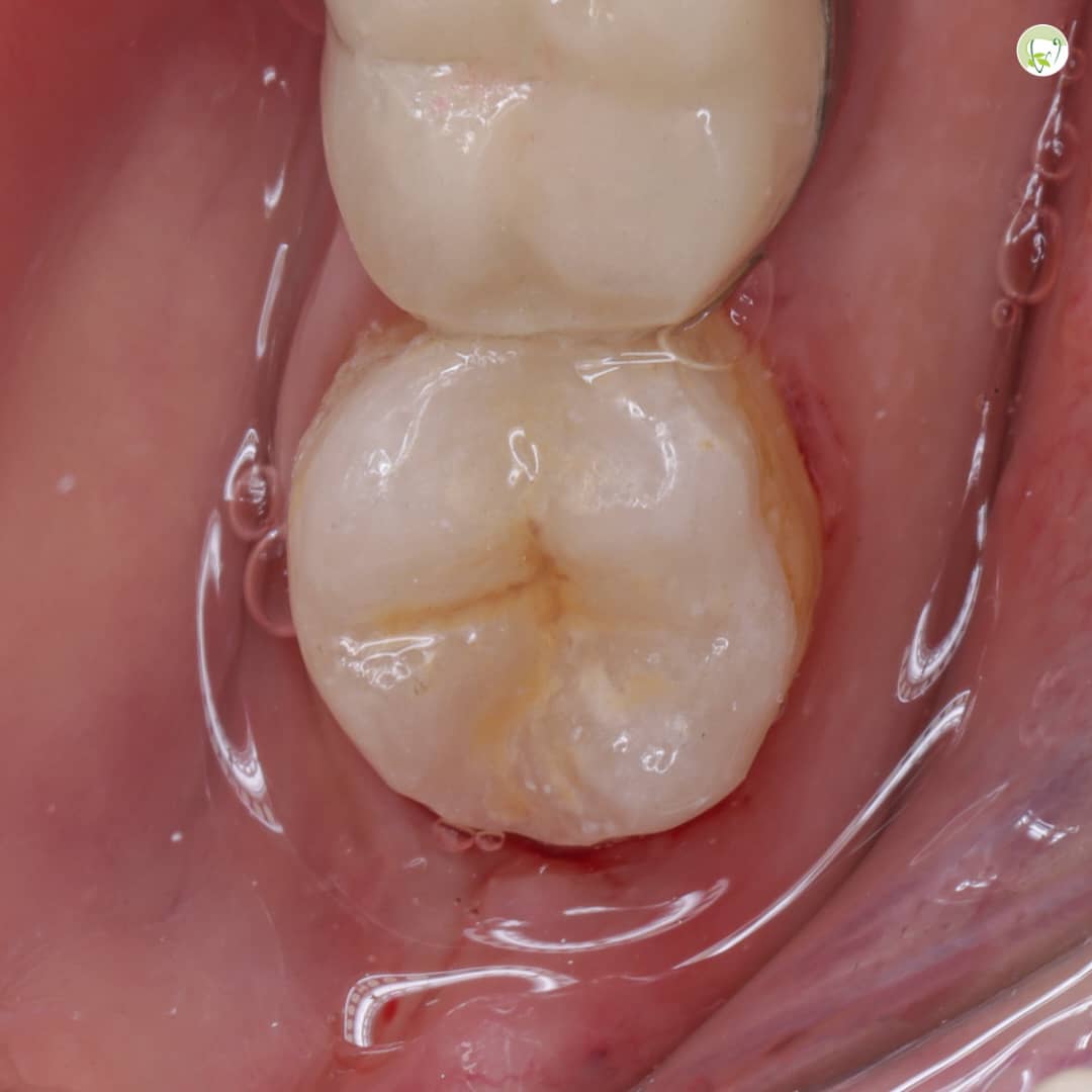
ترمیم کامپوزیتی غیر مستقیم(دیجیتالی)
ترمیم سرامیکی غیرمستقیم1
ترمیم سرامیکی غیرمستقیم2

نمایی از دستگاه اورال اسکنر که در انجام ترمیم های دیجیتال مورد استفاده قرار میگیرد
چنانجه مایل هستید در خصوص انواع روشهای ترمیم همرنگ دندان بیشتر بدانید اینجا کلیک کنید.
توجه
برداشت واستفاده از مطالب این سایت، تنها با ذکر منبع مجاز میباشد.
بیشتر بخوانید…
لطفا ما را در اینستاگرام نیز دنبال فرمایید
کلمات کلیدی
دندانپزشک – دندانپزشکی – دندانپزشکی دیجیتال – دندانپزشکی زیبایی – دندانپزشکی ترمیمی – لمینت سرامیکی – لامینت سرامیکی – لامینت دندان – هینوتیزم – هیپنوتیزم در دندانپزشکی – کرمانشاه – کرمانشاهی – دندانپزشکان کرمانشاه – عصب کشی – اندودانتیکس – درمان ریشه دندان – پروتز ثابت – روکش دندان – ایمپلنت فوری – دکتر افشین کاوسی – دکتر هاوش غارتی – لیزر در دندانزشکی – کاربرد لیزر در دندانپزشکی – جراحی لثه با لیزر – معنای لیزر – لیزر دایود – بایولیز – دندانپزشکی مدرن – جراحی لثه – جراحی دندان عقل – دندان عقل نهفته – جرمگیری دندان – بلیچینگ – سفید کردن دندان – زیبایی دندان – طراحی لبخند – طرح لبخند – جراحی تحت هیپنوتیزم – دندانپزشکی با هیپپنوتیزم – مدیریت مطب و کلینیک – دکتر کاظم آشفته یززدی – دکتر سیدمهدی جعفری – ایمپلنت دندان – کاشت دندان – جایگزینی دندان – ایمپلنت هدایت شده – ایمپلنت دیجیتال – نیودنت – اشترومن – کیت جراحی ایمپلنت – کامپوزیت ونیر – ونیر دندان – اینلی – اونلی – اورلی – ترمیم دندان – ترمیم همرنگ دندان – ترمیم سفید رنگ دندان – ترمیم دندان با کامپوزیت – ترمیم طبیعی دندان – آمالگام – تعویض آمالگام – طاق بستان – دندانساز – دندانساز تجربی – دندانپزشک تجربی – هنر دندانپزشکی – علم و هنر دندانپزشکی – لابراتوار دندانسازی – تکنسین دندان – تکنسین دندانپزشکی – دستیار دندانپزشک-ویروس کرونا – بیماری کرونا-جهش کرونا – کرونا و دندانپزشکی- کویید ۱۹ و دندانپزشکی – کنترل عفونت در دندانپزشکی – مطب دندانپزشکی زیبا – مطب دندانپزشکی شیک – معماری مطب دندانپزشکی – پرینتر سه بعدی – روکش موقت – نایت گارد – دندان قروچه – براکسیزم – ناهنجاری فک و صورت – ارتودنسی شفاف – الاینر شفاف – ترمیم کامپوزیت خلفی – بیماریهای لثه – بیماریهای دهان- کامپوزیت دندان – دوکتور ددان – کرماشان – بیمه دندانپزشکی – دپیگمانتاسون لثه – کدکم – سینوس لیفت – پیوند استخوان – جراحی ایمپلنت – ایمپلنتولوژی – بوی بد دهان – کیست دندان – دندان درد – آموزش بهداشت دهان کودکان – بهداشت اطفال – مسواک کودکان – دندان شیری – پرینتر سه بعدی – روکش موقت – dental laminates – smile -Kermanshah – kermanshah dentist – kermanshah dentistry office -تببیض الاستنان – زراعت الاسنان فی ایران – فنیز الترکیبیات کرمانشاه – طبیب الاسنان ایرانی -زراعت الاسنان فی یوم واحد ایران – دندانپزشک خوب کرمانشاه – رزین کامپوزیت – مواد دندانپزشکی با کیفیت – طراحی لبخند دیجیتالی – اموزش اگزوکد – طراحی در اگزوکد –

دندانپزشک
فارغ التحصیل دانشکده دندانپزشکی دانشگاه علوم پزشکی تهران


































هیچ نظری ثبت نشده است